DENTAL ŠKARIČIĆ
Hollywood Smilesavršeno dizajniran osmijeh
Potpuna estetska transformacija osmijeha kreirana posebno za vas!
Hollywood Smile je najtraženiji estetski dentalni tretman koji kombinira najnaprednije tehnike
ljuskica, krunica i digitalnog planiranja osmijeha.
Savršeni osmijeh nije samo estetika – to je sklad boje, oblika i funkcije.
Korak 1
Ispunite kratku formu
Ostavite nam kontakt – odgovorit ćemo vam u roku od 24 sata i dogovoriti besplatnu
konzultaciju.
Korak 2
Besplatan prvi pregled i izrada plana terapije
Na pregledu radimo digitalnu analizu i planiranje vašeg novog osmijeha. Vizualiziramo kako
će vaš rezultat izgledati prije početka tretmana.
Korak 3
Novi osmijeh u jednom danu
Precizna izrada i postavljanje keramičkih ljuskica, krunica ili drugih elemenata prema vašim
željama – za rezultat koji traje.
ŠTO JE HOLLYWOOD SMILE?
Dental Škaričić - Jedna od najboljih klinika u Dalmaciji
Hollywood Smile je kompletni smile makeover koji kombinira više estetskih postupaka da bi se postigao :
-
savršeno bijeli osmijeh
-
harmonija zuba i lica
-
simetrija oblika i veličine zuba
-
prirodan, ali istančan estetski rezultat
ŠTO UKLJUČUJE (OPCIJE TRETMANA)
-
Keramičke ljuskice - za savršen izgled prednjih zuba
-
Bezmetalne / cirkonske krunice - kad keramičke ljuskice nisu dovoljne
-
Profesionalno izbjeljivanje zubi
-
Implantati ili mostovi - ako nedostaju zubi
-
Korekcija linije zubnog mesa - gingive (gingivektomija/gingivoplastika)
-
Ortodontska priprema (ukoliko je potrebno)
-
Digitalni dizajn i mock‐up kako bi rezultat bio predvidljiv
ZAŠTO ODABRATI NAŠ HOLLYWOOD SMILE?
Vrhunska tehnologija + stručnost
- Digitalna analiza – analiziranje prije početka
- CAD/CAM precizna izrada
- premium keramički materijali
- estetski i funkcionalni rezultati
Holistički pristup
Ne radimo samo „bijele zube“ – analiziramo zagriz, proporcije lica, liniju usana i estetiku osmijeha u cjelini.
Prirodni, a impresivni rezultati
Rezultat koji djeluje prirodno, ali „wow efekt“ ostavlja dugoročni dojam.
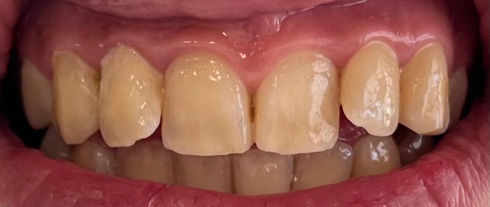
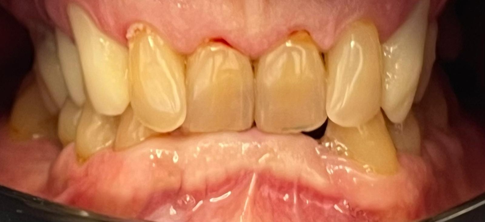
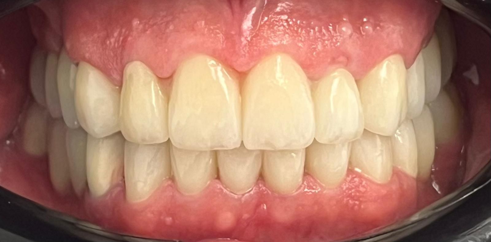
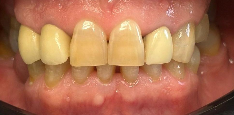
PRIJE I POSLIJE - TRANSFORMACIJE
PRIJE I POSLIJE
TRANSFORMACIJE
Stvarni pacijenti, stvarni rezultati
Rezultati su najvažniji – pogledajte razliku u boji, obliku i simetriji osmijeha.
RECENZIJE PACIJENATA
KVALITETA MATERIJALA
Holivudski osmijeh ne postoji bez vrhunskih materijala:
-
Keramičke ljuskice
-
E‐max ili top cirkonski materijali
-
CAD/CAM precizna izrada
-
biokompatibilni materijali za dugi vijek trajanja
PREDNOSTI HOLLYWOOD SMILE U ODNOSU NA SAMO IZBJELJENE ZUBE
🟢 savršena boja
🟢 ujednačeni oblik i simetrija
🟢 funkcionalna anatomija zagriza
🟢 sublimiran izgled koji odgovara vašem licu
🟢 rezultat koji traje i povećava samopouzdanje
HOLLYWOOD SMILE - PROCES TRETMANA
1. Besplatna procjena + digitalno planiranje
-
Izrada 3D skeniranja i vizualizacija konačnog osmijeha.
2. Priprema zubi i privremene restauracije
-
Brušenje, uzimanje otisaka i privremeni osmijeh.
3. Izrada trajnog protetskog rada
-
Prema dogovorenom planu u prethodnoj fazi.
4. Definitivni postav
-
Trajne bezmetalne keramičke ljuskice/krunice.
5. Kontrole i dugoročno praćenje
-
Redovni pregledi i održavanje estetskog rezultata.
TKO JE IDEALAN KANDIDAT?
-
osobe koje žele savršeno bijeli i ravni osmijeh
-
kandidati s obojenim ili neravnim zubima
-
pacijenti s oštećenim zubima koji žele trajno rješenje
-
oni koji žele smile makeover s funkcijom i zdravljem na prvom mjestu
FAQ - ČESTA PITANJA
Je li Hollywood Smile bolan?
Ne – radimo uz lokalnu anesteziju i minimalno invazivne tehnike.
Koliko traje Hollywood Smile?
U prosjeku 1-3 tjedna, ovisno o individualnom planu.
Hoću li odmah imati novi osmijeh?
Da – privremene restauracije se postavljaju odmah nakon pripreme.
Hoće li izgledati prirodno?
Da – svaki osmijeh dizajniran je prema proporcijama vašeg lica.
Zatražite besplatnu procjenu Hollywood Smile
Ispunite formu i odgovor dobijete u roku od 24 sata.
Vaši podaci su sigurni i nikada ih ne dijelimo s trećim stranama.


