DENTAL ŠKARIČIĆ
Ravni zubibez metalnih aparatića
Ispravite zube diskretno uz prozirne aparatiće (alignere) koji su gotovo nevidljivi tijekom nošenja.
U Dental Centru Škaričić izrađujemo individualni plan terapije kako bi vaš osmijeh postao ravniji, skladniji i estetski savršen.
Rezervirajte besplatne konzultacije i saznajte jeste li kandidat.
Bez žica
Korak 1
Ispunite formu
Pošaljite nam upit i rezervirajte termin za besplatne konzultacije.
Korak 2
Digitalna analiza vaših zubi
Naš tim izrađuje 3D digitalni plan pomicanja zubi kako bismo vidjeli kako će izgledati vaš novi osmijeh.
Korak 3
Započnite terapiju
Dobivate set individualno izrađenih prozirnih aparatića koji postupno pomiču zube u idealan položaj.
ZAŠTO ODABRATI DENTAL CENTAR ŠKARIČIĆ
Ispravljanje zubi prozirnim aparatićima zahtijeva precizno planiranje i stručan tim.
-
detaljne analize osmijeha i proporcija lica
-
digitalnog planiranja terapije
-
individualnog pristupa svakom pacijentu
-
vrhunske estetike završnog rezultata
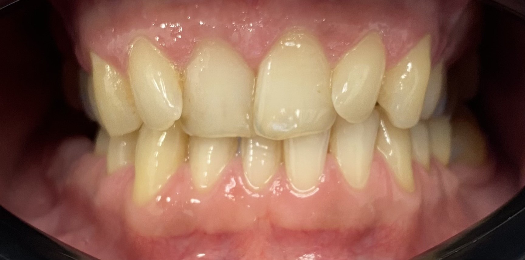
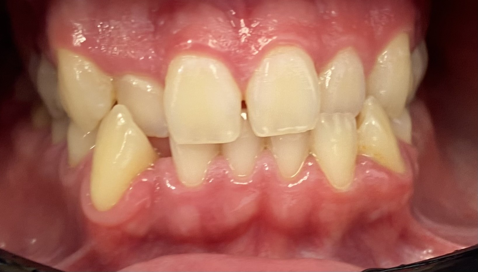
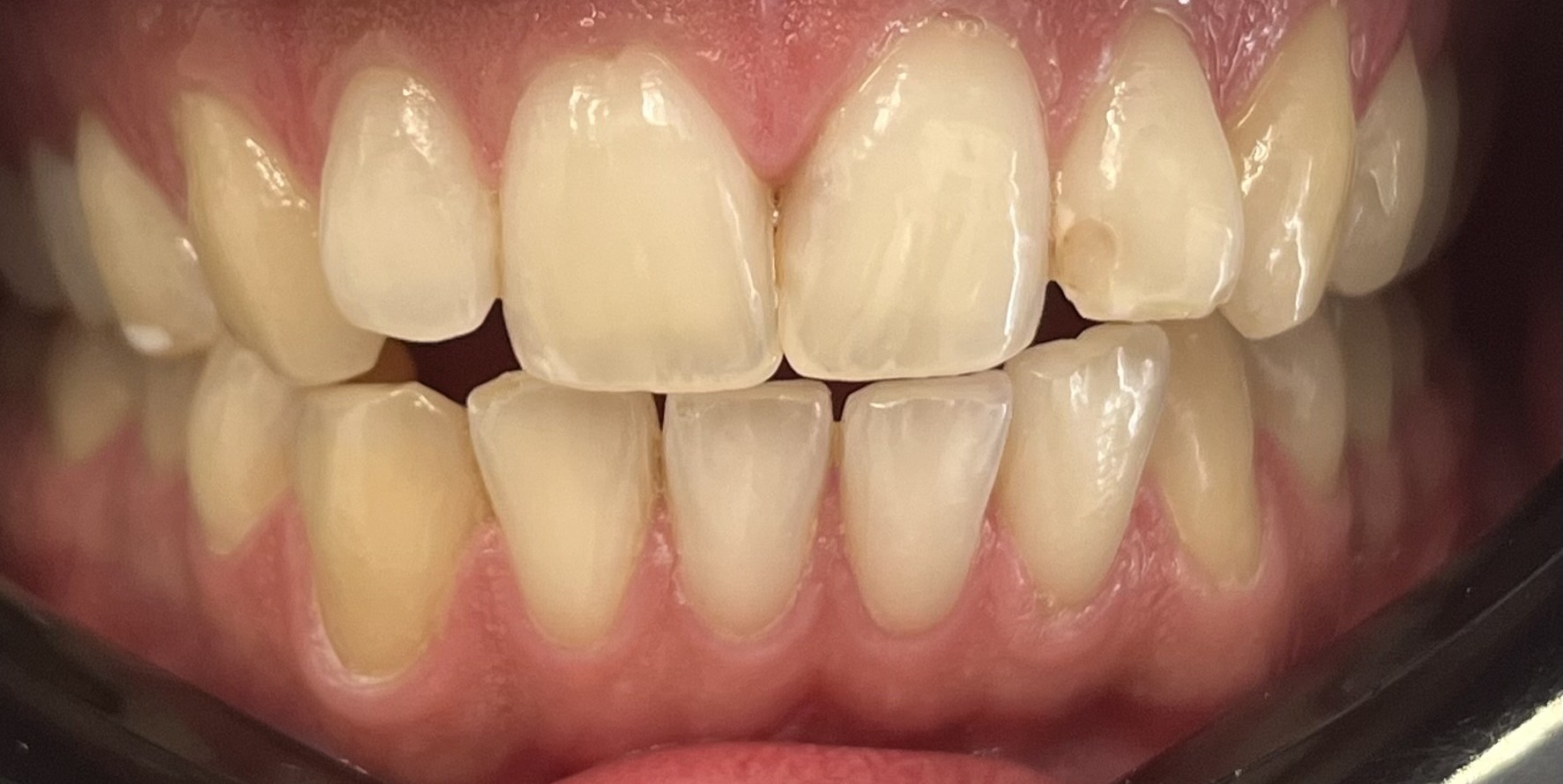
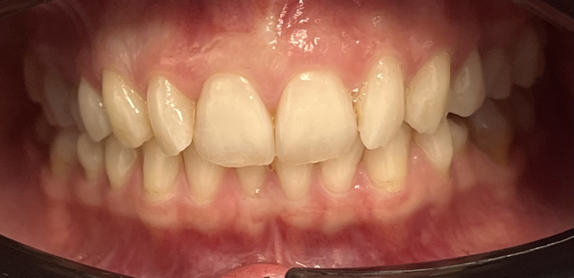
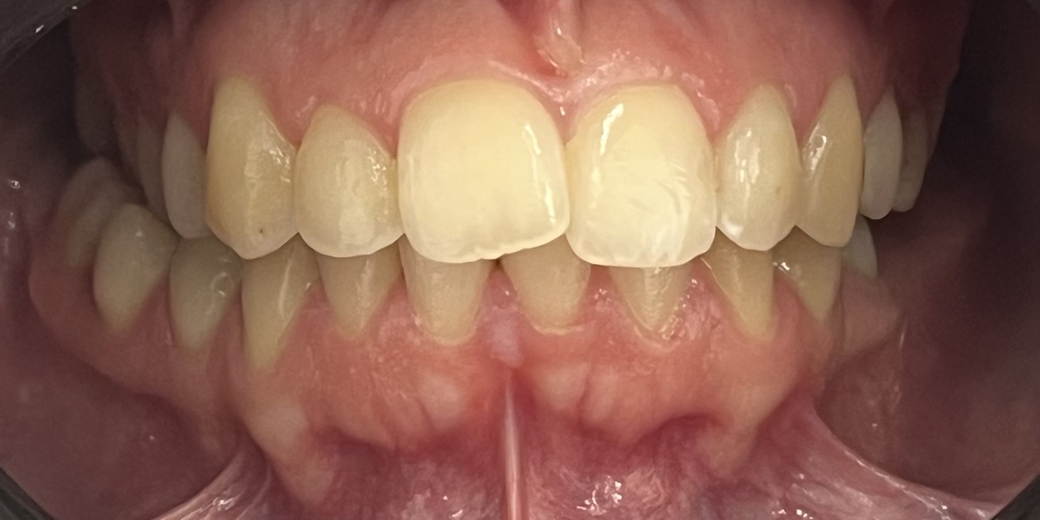
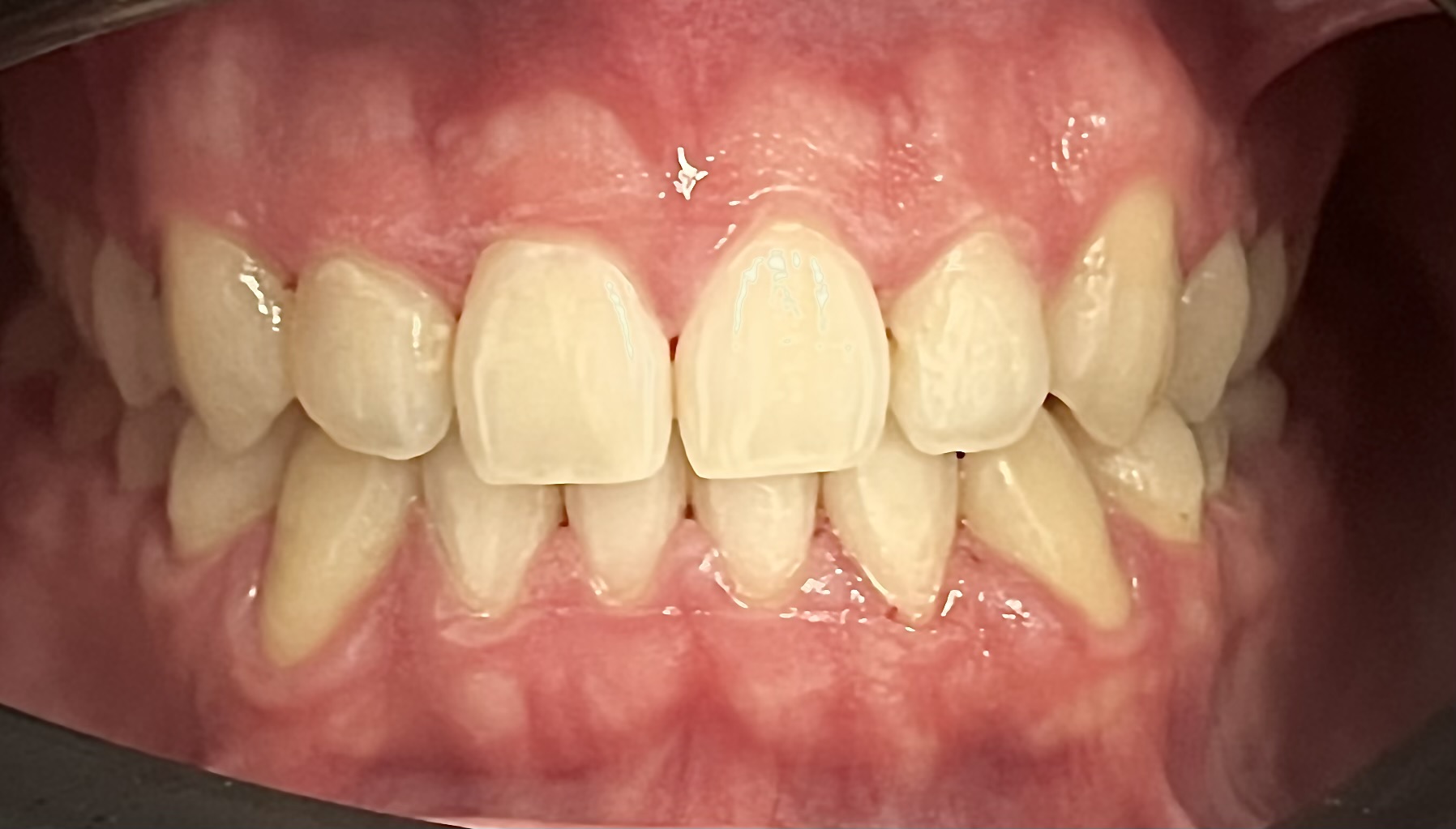
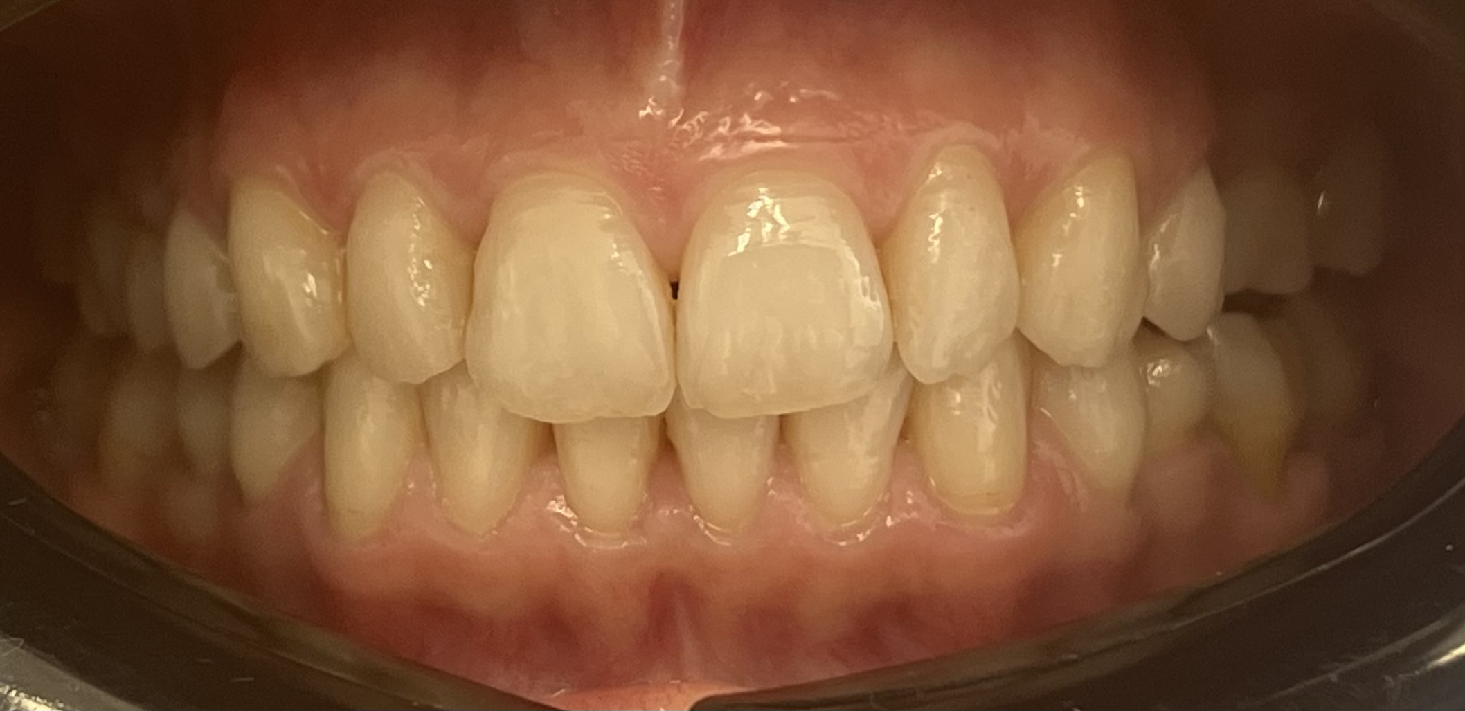
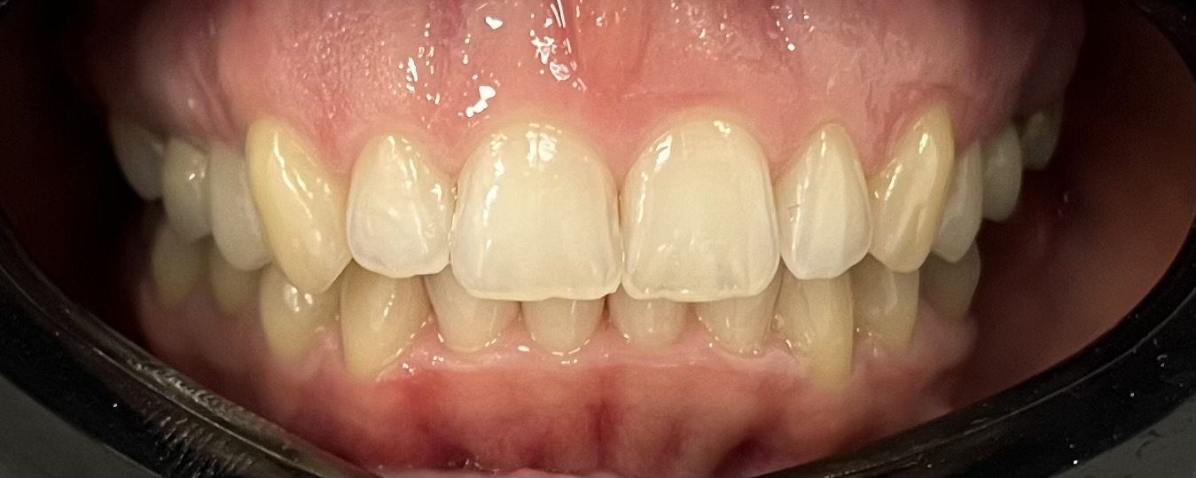
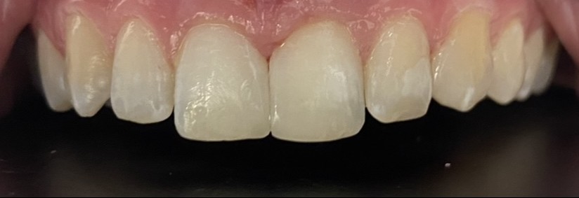
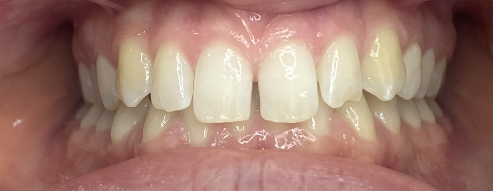
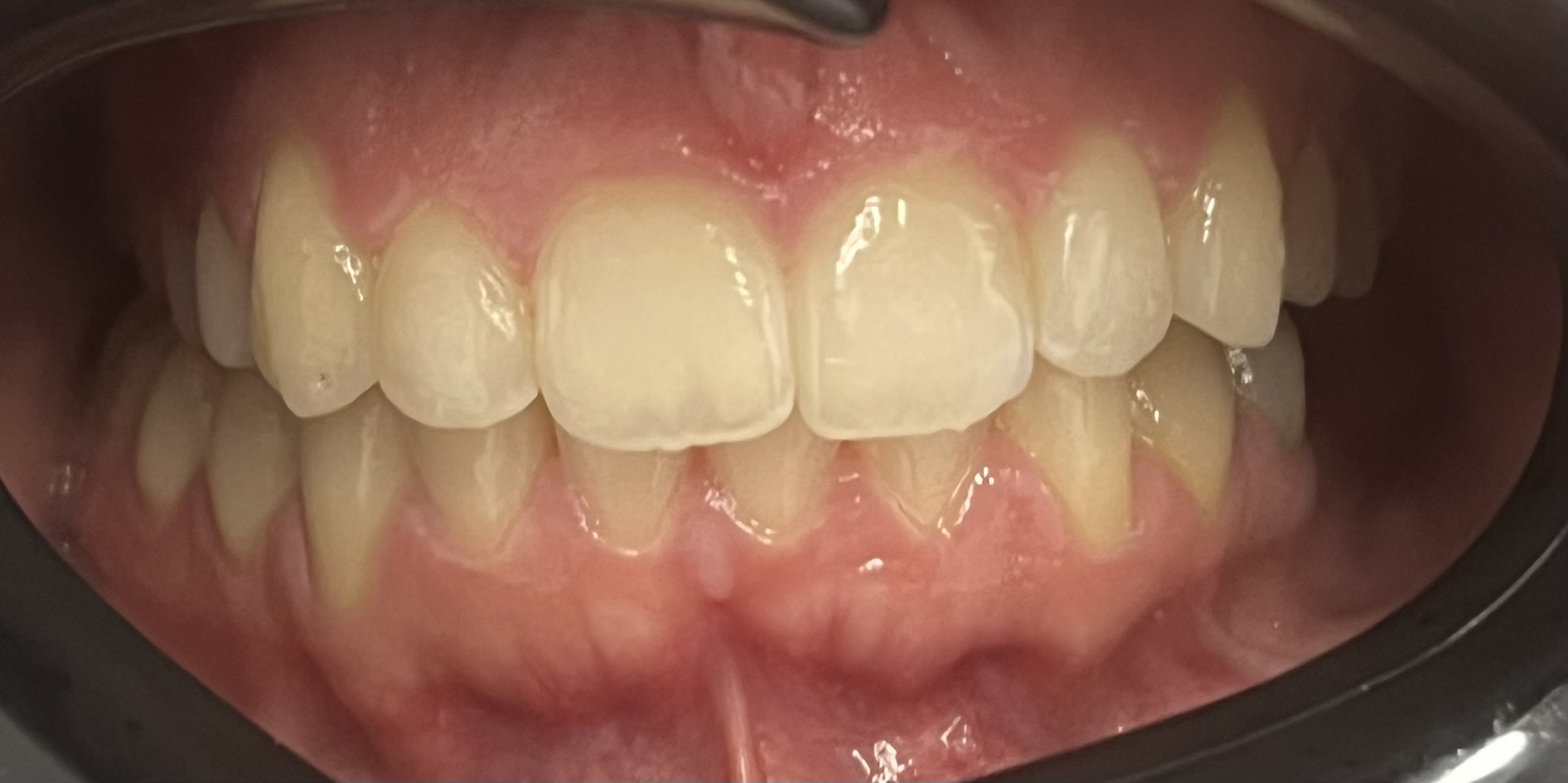
PRIJE I POSLIJE
REZULTATI
PRIJE I POSLIJE - REZULTATI
Prozirni aparatići mogu riješiti mnoge estetske probleme.
Najčešće se koriste za:
● zbijene zube
● razmak između zubi
● Nepravilno položene zube i revizije prethodnih ortodontskih terapija
Rezultat je ravniji, simetričniji i estetski ljepši osmijeh.
ISKUSTVA PACIJENATA
-
diskretnost terapije
-
ugodnije nošenje u odnosu na metalne aparatiće
-
profesionalnost našeg tima
Osoblje profesionalno,ljubazno, opušteno u radu i komunikaciji. Ordinacija čista i moderna. Ma jednostavno čista petica.
“Godinama sam odgađala ispravljanje zubi jer nisam htjela metalni aparatić. Prozirni aparatići su bili savršeno rješenje, a tim u Dental Centru Škaričić vodio me kroz svaki korak terapije.”
KVALITETA TERAPIJE
-
digitalno skeniranje zubi
-
izradu 3D modela osmijeha
-
precizno planiranje pomicanja svakog zuba
-
izradu individualnih alignera
PREDNOSTI PROZIRNIH APARATIĆA
U usporedbi s klasičnim aparatićima, aligneri nude brojne prednosti.
Diskretni su
Prozirni aparatići su gotovo nevidljivi tijekom govora i osmijeha.
Udobniji za nošenje
Bez metalnih žica koje mogu iritirati desni.
Mogu se skidati
Skidaju se prilikom jela i pranja zubi, što olakšava održavanje higijene.
Predvidljivi rezultati
Digitalni plan terapije omogućuje vam da vidite kako će izgledati vaš osmijeh nakon terapije.
Zbog toga su prozirni aparatići posebno popularni među odraslim pacijentima koji žele diskretno ispraviti zube.
PROCES TERAPIJE
1. Besplatne konzultacije
-
Pregled i analiza zagriza.
2. Digitalno skeniranje zubi
-
Izrada preciznog 3D modela.
3. Izrada plana terapije
-
Planira se pomicanje svakog zuba.
4. Nošenje alignera
-
Svaki aligner nosi se oko 1-2 tjedna.
5. Kontrolni pregledi
-
Redovite kontrole osiguravaju pravilan tijek terapije.
LOKACIJA
Dental Centar Škaričić nalazi se u Splitu na lako dostupnoj lokaciji.
Pacijentima nudimo:
-
vrhunsku estetsku stomatologiju
-
individualni pristup
-
moderne tehnologije
Rezervirajte besplatne konzultacije i saznajte je li terapija prozirnim aparatićima pravo rješenje za vas.
Zatražite besplatnu procjenu prozirni aparatići - ALIGNERI
Ispunite formu i odgovor dobijete u roku od 24 sata.
Vaši podaci su sigurni i nikada ih ne dijelimo s trećim stranama.






